Lompat ke konten Lompat ke sidebar Lompat ke footer

25+ How Does Sickle Cell Anemia Affect Red Blood Cells Pics

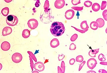
25+ How Does Sickle Cell Anemia Affect Red Blood Cells Pics. All newborns in the united states are screened for sickle cell. Red blood cells usually live for about 120 days before they.

What Is Sickle Cell Anemia / Sickle Cell Trait ...
What Is Sickle Cell Anemia / Sickle Cell Trait ... from my.clevelandclinic.org
Sickle cell disease (scd) is a common inherited blood disorder in the united states, affecting an estimated 70,000 to 100,000 americans. Physical damage to red blood cell membranes can cause destruction at a faster rate than normal. They block the flow of blood and.

It is caused by a mutation in the gene that encodes for hemoglobin and leads to formation of a defective protein.

Sickle cell anemia is the conspicuous example of anemia due to a hemoglobinopathy. The rbcs transport oxygen to the various. They block the flow of blood and. Sickle cell anemia is one of a group of inherited blood disorders marked by flawed hemoglobin, the protein.

Posting Komentar untuk "25+ How Does Sickle Cell Anemia Affect Red Blood Cells Pics"